A. Ossified meningioma
B. Calcified aneurysm
C. Osteoma of skull
D. Benign astrocytoma
Ans
A. Metastasis
B. Langerhans cell histiocytosis
C. Multiple myeloma
D. Surgical defect
A. Displaced fracture
B. Diploic vein and lakes
D. Skull metastasis
C. Meningeal artery groove
A. Osteomas
B. Fibrous dysplasia
C. Skull metastasis
D. Hyperostosis frontalis interna
A. Paranasal sinusitis
B.Maxillary abscess
C.Maxillary fracture
D.Maxillary neoplasm
A. Croup
B. Pharyngitis
C. Epiglottitis
D. Deep neck infection
A. Ankylosing spondylitis
B. Osteoblastoma
C. Hemangioma
D. Osteoporosis
A. Idiopathic scoliosis.
B. Congenital scoliosis
with hemivertebra.
C. Congenital scoliosis
with block vertebra.
D. Congenital scoliosis
with fusion of ribs
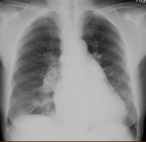
A. Dilated cardiomyopathy
B. Pericardial effusion
C. Thymic cyst
D. Pericardial defect
A. right sided aortic arch
B. right paramediastinal mass
C. chest wall deformity
D. pleural effusion
A. Lobar emphysema
B. Pneumomediastinum
C. Bullous emphysema
D. Tension pneumothorax
A. Right Paratraceheal Stripe
B. Right Brachiocephalic Artery
C. Superior Vena Cave Shadow
D. Skin Fold
A. RLL bronchiectasis
B. lung cancer
C. pul. infarction
D. right middle lung syndrome
A.Lung tumor
B.Lymphoma
C.Lung abscess
D.Empyema
A. Lung cancer
B. Tuberculosis
C. Pneumonia
D. Hemothorax
A. Normal
B. Rib fractures
C. Bone tumor
D. Pneumothorax
A. Pneumonia
B. Left lung cancer
C. Pleural effusion
D. One lung ventilation
A. TB with autonephrectomy
B.Calcified RCC
C.Staghorn stones
D.Porcelain gallbladder
A. fecalith
B. An ureteral stone
C. Calcified lymph node
D. Miss swallowing tooth
A. A.Urinary bladder stones
B.Phleboliths
C.Gallstone ileus
D.Calcified lymph nodes
A. Sentinal loop due to acute pancreatitis
B. Small bowel obstruction
C. Regler’s sign due to GI perforation
D. Ascites with central floating gastrointestinal air
A. Diverticulitis
B. Ischemic colitis
C. TB colitis
D. Crohn’s disease
A. Gallstone ileus with pneumobilia
B. Ischemic bowel with portal venous gas
C. Mechanical ileus
D. Paralytic ileus with ascites
A. Liver cirrhosis with ascites
B.Sential loop
C.Mechanical ileus
D.Paralytic ileus
A. Paralytic ileus
B.Mechanical ileus
C.Focal ileus
A. Calcific cystitis
B. Diabetic vasculopathy
C. Vas deferens calcification
D. Seminal vesical calcifcation
A. Hiatal hernia
B. Esophageal cancer
C. Achalasia
D. Duplication cyst
B. Acute cholecystitis
C. Pancreatitis
D. Gas forming liver abscess
A. Bowel obstruction
B. Retroperitoneal hematoma
C. Psoas muscle abscess
D. Normal KUB
A. Femoral head fracture
B: Avascular necrosis
C: Osteoarthritis
D: Osteomyelitis
A. Lunate osteonecrosis
B. Lunate fracture
C. Radiocarpal arthritis
D. Bony metastasis
A. Osgood shlatter disease
B. bone tumor
C. fracture
D. soft tissue mass
A. Bilateral DDH(developmental dysplasia of hip)
B. Bone tumor
C. Bone fracture
D. Osgood-Schlatter disease
A. Osteogenesis imperfecta
B. vitamin D deficiency
C. rickets
D. mucopolysacchroidosis
B. Hyaline membrane disease
C. Bil. Pleural effusion
D. Pulmonary hemorrhage
A. Intervertebral disc
B. Ligamentum flavum
C. Posterior longitudinal ligament
D. Facet joint
A. Ossification of thyroid cartilage
B. Fish bone in throat
C. Osteochondroma
D. Normal
A. Spinal AVM
B. Venous malformation
C. Cement embolism
D. Normal venogram
A. Situs solitus
B. Situs inversus
C. Sinus ambiguus
B. Aortic insufficiency
C. Pericardial effusions
D. Ebstein’s anomaly
B. Swyer James syndrome
C. Pulmonary emboli
A. Pneumoperitoneum (free air)
B. Pneumothorax
C. Bulla
D. Hernia
A. Hiatal Hernia
B. Eventration of diaphragm
C. left lower lung atelectasis
D. Perforated Hollow organ
A. fibrothorax
B. hemothroax
C. atelectasis
D. pneumonia
A. Pleural effusion
C. Rib tumor
D. Cardiomegaly
A. Pneumothorax
D. Pneumoperitoneum
A. RLL pneumonia
B. Cardiac tumor
C. Breast cancer
D. RML pneumonia
A. Calcified uterine fibroid
B.Calcified ovarian CA
C.Urinary bladder stones
D.Teratoma
A. Appendicitis with fecalith
B. Injection granuloma
D. Phlebolith
A. Left renal stone
B. Anterior calcified left rib
D. Fecalith
A. Porcelin gallbladder
B. A gallstone & suspicious CBD stone
C. Calcified adrenal mass
D. Calyceal diverticular stone
A. Gout
B. Chronic Kidney Disease
C. Rheumatoid Arthritis
D. Osteogenic Arthritis
A. Abdominal aortic aneurysm with stent graft
B. Multiple arterial coils
C. Gastric stent due to gastric CA
D. Metallic device for spine
A. Ischemic colitis with thumb printing
B. Distal colon obstruction
C. Ulcerative colitis
A. Normal standing abdomen
B. Mechanical obstruction
C. PPU with pneumoperitoneum
D. Interposition of colon
A. Hepatosplenomegaly
B.Right abdominal mass
C.Left abdominal mass
D.Retroperitoneal mass
B. Complete mole
C. Partial mole
D. Twin pregnancy
A. GB polyp
B. Adenomyomatosis
C. Gallstone with acute cholecystitis
A. Vesicle stone
B. Emphysematous cystitis
C. Schistosomiasis
D. Post cystoscopy change
A. Scaphoid fracture
B.Lunate fracture
C.Capitate fracture
D.Tripezium fracture
A. Osteomyelitis
B. Gouty arthritis
C. Rheumatoid arthritis
A. Healed fracture
B. Osteosarcoma
D. Osteoma
A. total knee arthroplasty
B. total hip arthroplasty
C. partial knee replacement
D. unicompartment knee replacement
A. croup (acute laryngotracheobronchitis)
B. acute epiglottitis
C. foreign body in the larynx
D. acute tonsillitis
A. foreign body
B. pneumothorax
D. acute epiglottitis
A. Osteolytic metastases
B. Disuse osteoporosis
D. Normal aging skull
B. Osteoarthritis
D. Ossification of posterior longitudinal ligament
A.Spondylosis
B.Spondylolysis
A. Atrial Septal Defect
B. Ventricular Septal Defect
C. Patent Ductus Arteriosus
D. Idiopathic Pulmonary Arterial Hypertension
B. Cardiomegaly
C. Right-side aorta
D. Tetralogy of Fallot
B. Giant bulla
C. Lobar emphysema
D. Skin fold
B. Lung cancer
C. Pulmonary infarction
D. Lung abscess
A. Sarcoidosis
C. Lymphoma
D. Bronchogenic carcinoma
A. Metastases
B. Pulmonary emboli
D. Post-traumahematomas
A. Thoracic aortic aneurysm
B. Pulmonary arterial hypertension
C. Esophageal cancer
D. I don’t know
A. bifid rib (forked or bifurcated rib)
B. rib fracture
C. wing scapula
D. cardiomegaly
A. Bil. Dermoid cysts
B. Mis-swallow dentures
C. Ureteral stones
D. Calcified fibroids
A. Free air in peritoneum
C. Toxic megacolon
D. Gastric outlet obstruction
A. Gallstones
B.Renal stones
C.Calyceal diverticular stones
A. Excretion of contrast into from a recent IV contrast injection
2. Porcelain gallbladder
3. Milk of calcium bile
4. A large gallstone
A. Ulcerative colitis
B. Diverticulosis
C. Ischemic colitis
D. Pseudomenbranous colitis
A. CBD stent
B. IVC filter
C. Artifact
D. Arterial coils
A. Gastric outlet obstruction
C. Postprandial KUB
D. Paralytic ileus
B.Mechanical obstruction
C.Free air with regler’s sign
D.Massive ascites
A. Mass from gynecologic origin
B. Mass from GI origin
C. Mass from GU origin
D. Mass from retroperitoneum
A. Renal stone
B. Renal ectopia with fusion
C. Emphysematous pyelonephritis
D. Horseshoe kidney
A. Hemorrhoid
B. Colon diverticulum
C. Normal
D. Ascending colon cancer
A. Foreign body swallowing
B. Right ureteral stone
C. Myoma calcification
D. Ovarian teratoma
D. Infectious sacroiliitis
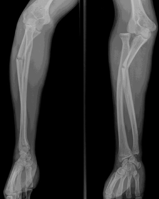
A. Proximal ulnar fracture
B. Radial head dislocation
C. Monteggia fracture-dislocations
D. Galeazzi fracture-dislocations
A. bipartite patella
B. fracture
C. bone tumor
A. Osteopoikilosis
B. metastases
C. osteomyelitis
D. bone calcifications
A. Synostosis
D. osteomyelitis
A. Megureter
B. One side kidney
C. Vesicoureteral reflux
D. Duplication
更新日期:2019.12.18
更新者姓名: 陳億庭